At The York Dental Suite, your comfort always comes first. From routine check-ups to complex treatments, we’re here to protect your smile - today and for life.
Led by Dr Mafalda Queiroz, our team delivers a truly personalised dental experience, designed around you. From the moment you arrive, we focus on creating a calm, caring, and relaxing environment, so you feel confident, comfortable, and completely at ease throughout your visit.
We believe exceptional dental care should be accessible, comfortable, and comprehensive. That’s why Dr Mafalda Queiroz and our experienced team combine clinical excellence with genuine, compassionate care — ensuring every patient receives the attention and treatment they deserve.
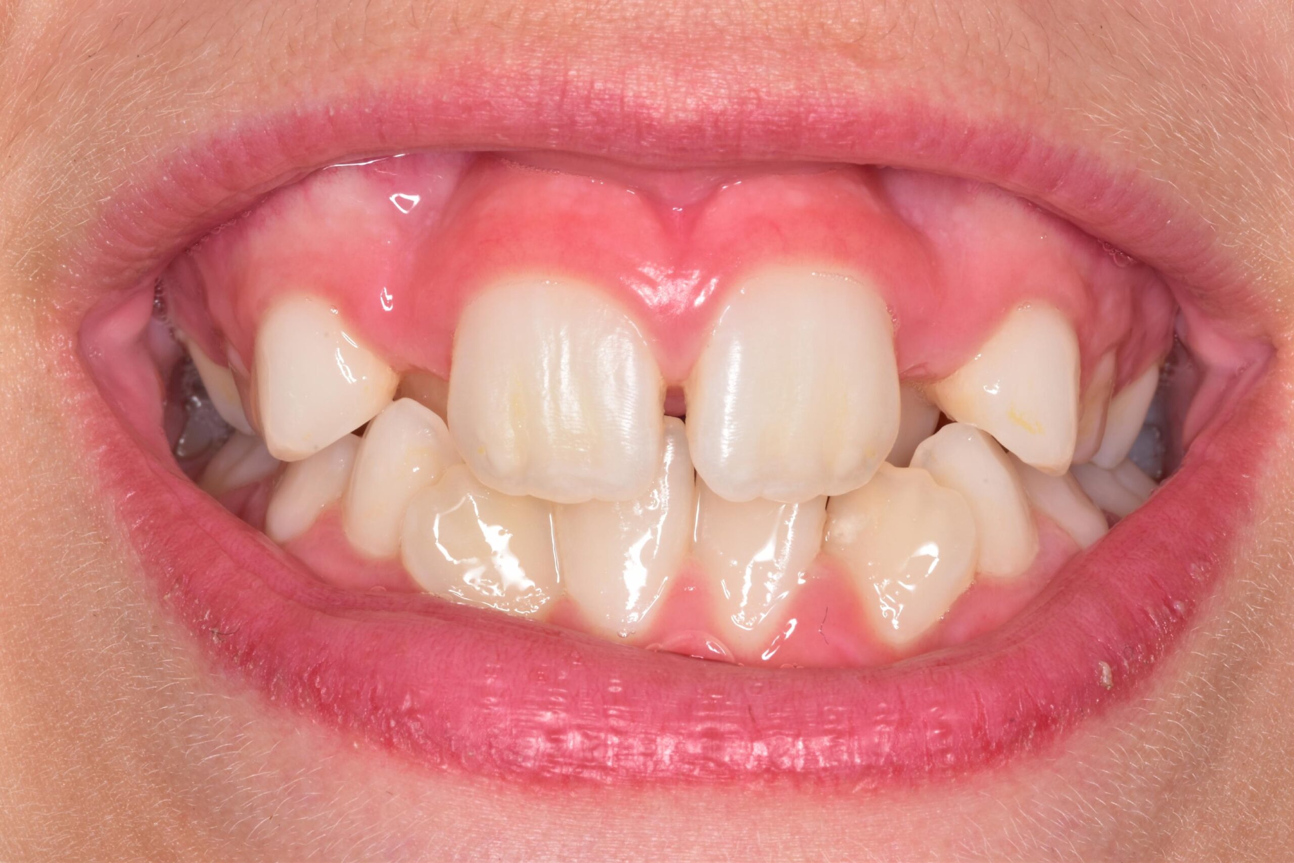
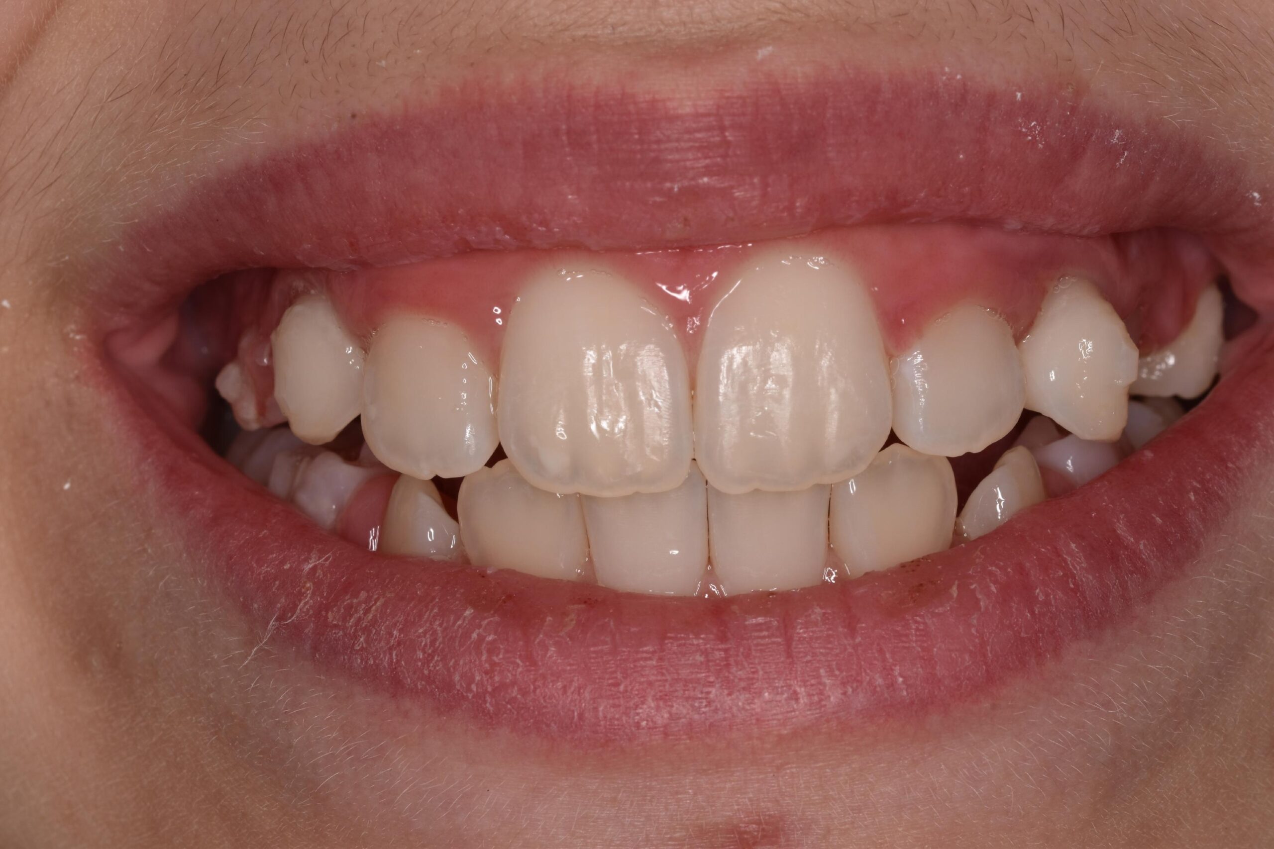
Transform a smile on the same day
Our practice has been designed with an artist’s eye so that it feels more like a spa experience than a visit to the dentist, and every single team member is here to help our patients move through their dental health journey with ease. Housed in the Liquor Store of the iconic Terry’s chocolate factory, our space honours and preserves the history and character of this important building while bringing cutting-edge, modern dentistry to the people of York.
We’re easy to find with excellent transport links from York city centre, and parking directly outside the practice.
At The York Dental Suite, we believe in preventive dentistry, not just pretty smiles. It’s about taking care of your teeth and mouth now, to avoid the need for more invasive treatments later. Dental hygiene is our foundation, and it’s woven into every aspect of our care.
Regular checkups, thorough cleanings, and personalised advice on brushing, flossing, and diet empower you to be your own oral health hero. We partner with you to identify potential issues early, like cavities or gum disease, and address them before they become serious.
By prioritising preventive dentistry and good dental hygiene, you’ll enjoy a lifetime of healthy smiles, confident bites, and fewer costly procedures. With The York Dental Suite, prevention paves the way for a brighter, healthier future.

Our specially tailored membership plans have been created to help our members to take a proactive, preventative approach to their oral health while enjoying our high levels of patient care
Benefits include
You can also spread the cost of treatment with our flexible payment plans, including 0% finance options

Composite Bonding can address very minor misalignment issues, but when treating a misaligned smile we would recommend undergoing a straightening treatment prior to Composite Bonding. This will produce the kind of results you’re looking for and with our Diamond Level Invisalign Providers, we’ll ensure you achieve your straightest smile yet.
Explore some of the cosmetic and restorative treatments we offer beyond general dentistry - please contact us for more information:
Cosmetic Dentistry - Transform your smile with teeth whitening, veneers, or composite bonding.
Clear Aligners - Straighten your teeth discreetly with our award-winning Invisalign® treatment.
Dental Implants - Permanent tooth replacement that looks and feels completely natural.
Facial Aesthetics - Subtle enhancements to complement your beautiful smile.








How often should I visit the dentist? We recommend check-ups every 6 months for most patients, though some may need more frequent visits depending on their oral health. We'll create a schedule that's right for you.
Do you accept new patients? Yes! We're always welcoming new patients and families. Contact us to arrange your first appointment.
Are your services suitable for children? Absolutely. We provide gentle, age-appropriate care for children of all ages and work hard to make their visits positive experiences.
Do you offer emergency appointments? Yes, we prioritise urgent cases and aim to see emergency patients as soon as possible. Call us immediately if you're experiencing dental pain or trauma.
Do you treat nervous patients? We’re particularly focussed on helping anxious patients feel comfortable. Let us know about your concerns, and we'll take extra time to ensure you feel safe and relaxed.
Can I register my whole family? Yes! We provide comprehensive care for all ages and welcome families. We can often schedule appointments back-to-back for convenience.

Our friendly team is here to help. Whether you're ready to book or just want to learn more about our services, get in touch today.
Absolutely amazing dentist, so non judgemental, friendly and warm. Really thorough with explanations and they really make sure you have all the information you need. They even managed to get some left over brace glue off of my teeth which has been bothering me for years! Thank you so much.
Mafalda is absolutely amazing at what she does. I’ve had Invisalign, composite bonding and a gum lift and she has been so caring through the whole thing and talked me through each step and explained what is involved. Thank you so much Mafalada, I’m so much happier and more confident with my smile!!
I’ve been with Mafalda for 2 years now and I cannot recommend enough. She recently opened ‘The York Dental Suite’ and it’s such a lovely place to go for your teeth. Also if you’re scared of the dentist she actually makes you look forward to your appointment, always so relaxed.

Master in Dental Medicine
PGDip in Orthodontics
PGCert in Restorative Dentistry
GDC Number: 197598
Qualified in 2010 from Oporto University in Portugal
We recognise the importance of having a beautiful natural smile but preserving the health of the tooth comes first. Dr Mafalda is committed to delivering dentistry of the highest quality. Through this commitment Dr Mafalda has attended numerous courses over Europe and have successfully completed a PGCert in Restorative Dentistry, a PGDip in Orthodontics as well as numerous advanced biomechanic courses in clear aligners as well as further training in composite bonding with the renowned Dr Monik Vasant.
Dr Mafalda has been an Invisalign leading provider for 10+ years and has helped 1000’s of patients achieve their dream smile achgieveing Diamond provider status. Over the last few years she has dedicated herself to treating children as young as 7yrs, helping them achieve a healthier and happier smile through an improved respiratory and masticatory function with clear aligners.

Our practice has been designed with an artist’s eye so that it feels more like a spa experience than a visit to the dentist, and every single team member is here to help our patients move through their dental health journey with ease. Housed in the Liquor Store of the iconic Terry’s chocolate factory, our space honours and preserves the history and character of this important building while bringing cutting-edge, modern dentistry to the people of York.
Our practice has been designed with an artist’s eye so that it feels more like a spa experience than a visit to the dentist, and every single team member is here to help our patients move through their dental health journey with ease. Housed in the Liquor Store of the iconic Terry’s chocolate factory, our space honours and preserves the history and character of this important building while bringing cutting-edge, modern dentistry to the people of York.